Ultima actualizare în noiembrie 27, 2024 de Mariana
Zona din jurul regiunii genitale este foarte delicată și este predispusă la diferite tipuri de infecții. Umflăturile, petele sau alte tipuri de leziuni în relief ar putea fi rezultatul a ceva la fel de inofensiv precum un păr încarnat sau umflături de ras sau poate fi o infecție virală gravă, cum ar fi herpesul sau verucile genitale. De asemenea, poate fi dificil să distingem firele de păr încarnate din apropierea organelor genitale, în afară de umflăturile și veziculele herpesului genital .
Este foarte important să știi să faci diferența dintre herpesul genital și un păr încarnat inofensiv. Herpesul este o infecție virală extrem de infecțioasă care se poate răspândi cu ușurință prin contactul cu pielea. Un păr încarnat sau o erupție cutanată este de obicei o infecție inofensivă a pielii care rezultă din îndepărtarea părului din jurul organelor genitale. Cu toate acestea, atât herpesul genital, cât și părul încarnat pot provoca simptome similare, cum ar fi umflături dureroase în jurul organelor genitale, roșeață, mâncărime în jurul leziunilor ridicate și pot provoca disconfort în zona dintre picioare.
Există, de asemenea, importanță în a face distincția între umflăturile genitale cauzate de firele de păr încarnate și verucile genitale. Negii genitali sunt un alt tip de leziune ridicată care poate apărea uneori în jurul vaginului, penisului sau regiunii anale și, ca și herpesul genital, se răspândește adesea prin contact sexual.
Desigur, există o mare diferență în modul de tratare a semnelor de păr încarnat și herpes genital sau veruci. A scăpa de firele de păr încarnate din jurul regiunii genitale necesită utilizarea unei comprese calde sau a uleiului de arbore de ceai pentru a ajuta umflarea infectată să se vindece mai repede. Tratarea herpesului genital este mai complicată, deoarece rănile sunt foarte infecțioase și nu există un leac pentru virusul care provoacă vezicule în jurul organelor genitale.
Acest articol vă ajută să faceți diferența dintre firele de păr încarnate, herpesul genital și verucile genitale. Veți afla, de asemenea, despre câteva remedii naturale care pot ajuta la tratarea simptomelor acestor afecțiuni genitale frustrante.
Ce sunt umflăturile de ras sau firele de păr încarnate?
Umflăturile de ras apar în zonele rase sau epilate în care unul sau mai multefire de păr au crescut înapoi în piele. Acest lucru duce la formarea de coșuri care se pot infecta și uneori se pot umple cu puroi. Dacă îndepărtați părul din jurul organelor genitale prin epilare sau bărbierit, atunci există șansa ca firele de păr încarnate să provoace umflături sau pete infectate pe piele în jurul zonei genitale.
Potrivit dermatologului Dr. Gary Cole, epilarea agresivă a părului este de obicei de vină pentru umflăturile de ras și firele de păr încarnate. Celulele moarte ale pielii pot, de asemenea, înfunda porii iritați, ceea ce duce la o infecție bacteriană a pielii care provoacă mici umflături de puroi. Este posibil să aveți, de asemenea, o erupție cutanată care arată ca niște mici umflături roșii uscate în jurul zonei bărbierite.
Ce sunt herpesul genital și verucile genitale?
Atât herpesul genital, cât și verucile genitale sunt cauzate de infecții virale care se transmit de obicei prin contact sexual și sunt clasificate ca infecții cu transmitere sexuală (ITS).
Centrul pentru Prevenirea și Controlul Bolilor (CDC) spun că herpesul genital este cauzat de virusul herpes simplex (HSV). De obicei, HSV-1 provoacă herpes labial sau vezicule febrile în jurul gurii, iar HSV-2 provoacă herpes în jurul regiunii genitale. Infecția virală apare ca răni dureroase și vezicule în jurul zonei de piele afectate. Împreună cu rănile genitale, este posibil să aveți simptome asemănătoare gripei.
Negii genitali sunt cauzați de papilomavirusul uman (HPV) și acest lucru provoacă mici umflături cu o suprafață aspră în zona genitală. Potrivit medicilor de la Clinica Mayo, verucile genitale sunt de obicei greu de observat și vor deveni vizibile și dureroase dacă se dezvoltă aglomerate de veruci. Acești negi și umflături pe piele se răspândesc și prin contact sexual.
Păr încarnat sau herpes? 7 moduri de a distinge diferența
Simptomele herpesului în apropierea zonei vaginale și firele de păr încarnate sunt uneori dificil de deosebit. Uneori, umflăturile cauzate de herpesul genital vor dispărea de la sine, în timp ce poate fi necesar să tratați umflăturile de ras prin îndepărtarea părului încarnat și tratați zona cu un remediu antibacterian natural.
Iată 7 moduri de a distinge simptomele herpesului și ale firelor de păr încarnate:
1. Este inflamat?
O modalitate de a deosebi o umflătură cu herpes de un folicul de păr încarnat infectat este durerea pe care o provoacă.
Dr. Stephanie Gardner de pe WebMD spune că un păr încarnat va provoca iritații din cauza infecției bacteriene pe care o poate provoca. Uneori, coșul inflamat poate deveni un furuncul mare care va fi dureros, dar, în general, durerea este destul de ușoară în comparație cu umflăturile de herpes genital.
Durerea pe care o provoacă herpesul genital va fi mult mai gravă. Dr. Traci Johnson de pe WebMD spune că herpesul genital provoacă vezicule care sunt foarte dureroase și sensibile atunci când izbucnesc.
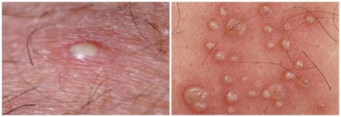
2. Privește de aproape denivelarea
Există, de asemenea, o diferență între modul în care arată umflăturile cauzate de firele de păr încarnate și herpesul genital.
Un păr încarnat va provoca un coș asemănător acneei sau un grup de coșuri. Acestea sunt caracterizate prin foliculi de păr roșii, umflați, care se pot umple cu puroi. Dacă te uiți cu atenție, s-ar putea să vezi și părul încarnat din capul coșului inflamat.
Diferența cu herpesul genital este că arată mai mult ca niște vezicule pline de lichid în zonele pubiane și genitale și, în general, nu vor exista semne de infecții bacteriene ale pielii. Odată ce veziculele apoase au izbucnit, acestea se vor forma crustă la suprafață.
3. Suprafața denivelării este diferită
Deoarece părul încarnat provoacă o umflătură asemănătoare coșurilor, iar herpesul provoacă vezicule, suprafața bubiței va fi diferită. Coșul de păr încarnat va arăta roșu cu un centru galben, în timp ce herpesul genital arată mai mult ca niște vezicule pline de lichid.
Este ușor să distingem verucile genitale de herpes sau umflăturile de păr încarnate. Academia Americană de Dermatologie spune că verucile genitale au o suprafață aspră ridicată și un grup de veruci genitale poate arăta ca o conopidă.
4. Denivelarea este deschisă sau închisă?
Observarea dacă umflătura rămâne deschisă sau închisă este o altă modalitate de a deosebi herpesul de o umflătură de ras.
Dr. Stephanie Gardner spune că o umflătură de la un păr încarnat ar trebui de obicei să dispară de la sine. De obicei, complicațiile de la firele de păr încarnate apar dacă le culegeți sau le zgâriați. Cu toate acestea, coșul nu se sparge de la sine.
Bufăturile asemănătoare veziculelor cauzate de herpes vor izbucni și vor scurge lichid limpede și se vor transforma într-un ulcer. Odată ce s-a întâmplat acest lucru, se va forma o crustă pe partea superioară a rănii în timp ce ulcerul de sub crusta se vindecă – acest lucru nu se întâmplă cu firele de păr încarnate.
5. Apăsați denivelarea
Apăsarea ușoară a umflăturii vă va ajuta să identificați dacă este un coș de păr încarnat sau o infecție cu herpes. Înainte de a atinge zona, este important să vă spălați mâinile pentru a preveni răspândirea infecției mai departe în zona vaginală.
Dacă umflătura se rupe atunci când o apăsați, umflăturile de la herpesul genital vor elibera, în general, lichid apos limpede sau lichid gălbui dacă există o infecție. Puroiul de la umflături sau un folicul de păr încarnat va fi de obicei mai gros, aproape ca ceara galbenă albicioasă. Cu toate acestea, se recomandă să evitați stoarcerea sau evacuarea lichidului sau puroiului din orice tip de umflătură cauzată de o infecție.
6. Disconfort la urinare
Spre deosebire de problemele pielii cauzate de firele de păr încarnate din jurul organelor genitale, umflăturile cauzate de virusul HSV-2 pot provoca dureri la urinare. Potrivit medicilor de la Clinica Mayo, ulcerele de la herpes pot face pipiul dureros și inconfortabil.
Desigur, urinarea dureroasă ar putea fi, de asemenea, un semn al unei infecții ale tractului urinar. Dacă observați că urina dumneavoastră are o culoare tulbure și emite un miros neplăcut, ar trebui să vă adresați medicului dumneavoastră.
7. Simptome asemănătoare gripei
Singurul semn simptomatic al unui păr încarnat în zona pubiană este un coș roșu, inflamat, unde părul a crescut înapoi în piele.
O modalitate de a deosebi herpesul de firele de păr încarnate este că aveți adesea simptome asemănătoare gripei cu herpesul. Medicii spun că este posibil să aveți febră, dureri de cap și ganglioni limfatici umflați în zona inghinală.
Herpes genital vs. veruci genitale
Este mai ușor să distingem rănile cauzate de herpesul genital în afară de verucile genitale. Dr. Melissa Conrad Stöppler de la eMedicineHealth spune că verucile genitale arată ca niște mici umflături de piele în jurul labiilor și a deschiderii vaginale. Deși multe au o suprafață aspră și apar în grupuri, pot fi, de asemenea, mici denivelări plate, cu o suprafață strălucitoare.
Spre deosebire de herpesul cauzat de virusul HSV-2, în general nu există alte simptome cu verucile genitale. Cu toate acestea, în unele cazuri, verucile din jurul vaginului pot mâncărime, pot avea unele secreții și uneori pot sângera.
Cum să distingem umflăturile de ras și herpesul
În timp ce un păr încarnat poate provoca un cos roșu mare într-o zonă rasă din jurul zonei pubiene, arsurile de ras provoacă o erupție roșie care arată ca niște puncte roșii mici. Potrivit dermatologului Dr. Amanda Oakley, arsurile de ras sunt frecvente atunci când bărbierești părul creț care este gros. Zona rasă poate arăta ca și cum ar avea acnee, iar micile pustule pot fi dureroase.
Herpesul poate provoca, de asemenea, grupuri de umflături mici, dar așa cum sa menționat deja în acest articol, umflăturile herpesului genital sunt umplute cu lichid apos care izbucnește de la sine. În general, nu arată ca o erupție roșie, de tip acneic.
Cum să tratezi umflăturile de ras
Dacă ați stabilit că umflăturile din regiunea dumneavoastră pubiană sunt cauzate de ras sau epilare și nu de herpes genital sau veruci genitale, ce puteți face pentru a le trata? Există multe remedii naturale pe care le puteți folosi pentru a ușura disconfortul, pentru a calma iritația și pentru a ajuta pielea infectată să se vindece mai repede.
Compresa calda
Una dintre cele mai rapide moduri de a scăpa de arsurile de ras sau de umflături din zona genitală este să folosești o compresă caldă. Căldura de la compresă ajută la stimularea vindecării prin creșterea fluxului de sânge către zona de piele afectată. De asemenea, ajută la eliminarea oricărei infecții și poate ajuta la ridicarea părului încarnat mai aproape de suprafață.
Dr. Debra Jaliman de pe WebMD recomandă un pachet de căldură pentru a ajuta la tratarea foliculilor de păr infectați care sunt roșii și plini de puroi.
Cum se utilizează:
Iată cum puteți face o compresă caldă pentru a ajuta la tratarea simptomelor părului încarnat și a arsurilor de ras:
- Umpleți un vas cu apă fierbinte și înmuiați o cârpă curată în apă.
- Strângeți excesul de lichid (asigurați-vă că prosopul nu este prea fierbinte) și apăsați pe zona afectată a pielii din organele genitale.
- Aplicați timp de 10 minute
- Din când în când, înmuiați din nou cârpa de spălat în apă fierbinte pentru a menține compresa caldă.
- Dacă observați părul încarnat lângă suprafața umflăturii infectate, îndepărtați-l cu grijă punând un ac steril sub părul ondulat și ridicându-l afară.
- Aplicați zilnic compresa caldă pe arsurile de ras de pe zona pubiană până când pielea s-a vindecat.
Amintiți-vă, nu încercați niciodată să scoateți un păr încarnat sau să strângeți puternic foliculul de păr infectat. Acest lucru poate face ca infecția să pătrundă mai adânc în piele și să provoace cicatrici.
Ulei de arbore de ceai
Uleiul de arbore de ceai poate ajuta la tratarea simptomelor firelor de păr încarnate datorită proprietăților sale antibacteriene. Uleiul de arbore de ceai are multe întrebuințări în casă și pentru că poate fi folosit ca agent antiseptic, este un remediu natural excelent pentru afecțiunile de piele infectate.
Conform multor studii privind activitatea medicinală a uleiului de arbore de ceai, acesta poate fi folosit pentru a trata infecțiile care provoacă cosuri. Jurnalul Clinical Microbiology Reviews a raportat că, printre numeroasele sale utilizări, uleiul de arbore de ceai poate fi folosit pentru acnee, distrugând bacteriile care provoacă infecții ale pielii și calmând inflamația pielii.
Cum se utilizează:
Deoarece pielea din jurul zonei genitale este foarte delicată, ar trebui să utilizați întotdeauna ulei de arbore de ceai diluat pentru a trata arsurile genitale de ras. Iată cum să-ți faci acasă un balsam vindecător de ulei de arbore de ceai:
- Amestecați 2-3 picături de ulei de arbore de ceai într-o lingură de ulei purtător (cum ar fi uleiul de cocos, uleiul de jojoba sau uleiul de migdale dulci).
- Masați ușor unguentul de vindecare pe zona de piele afectată și lăsați să acționeze 15-20 de minute.
- Clătiți și uscați complet zona.
- Utilizați zilnic după bărbierit zona pubiană pentru a preveni iritarea sau infectarea foliculilor de păr și pentru a preveni arsurile de ras.
Exfoliant cu bicarbonat de sodiu și ulei de cocos
O altă modalitate de a scăpa de firele de păr încarnate care provoacă umflături în jurul organelor genitale este să faci un exfoliant cu bicarbonat de sodiu și ulei de cocos. Există o serie de motive pentru a folosi aceste 2 ingrediente naturale pentru tratarea umflăturilor de ras. În primul rând, ambele au proprietăți antibacteriene pentru a preveni infectarea foliculilor de păr. În al doilea rând, textura granulată a bicarbonatului de sodiu ajută la exfolierea celulelor moarte ale pielii.
De exemplu, revista Pharmaceutical Biology a raportat că uleiul de cocos ajută la reducerea inflamației cauzate de infecțiile bacteriene. De asemenea, studiile asupra bicarbonatului de sodiu au arătat că are un efect antibacterian natural.
Cum se utilizează:
Este foarte ușor să-ți faci propriul scrub acasă cu bicarbonat de sodiu și ulei de nucă de cocos pentru a preveni umflăturile și arsurile de la brici. Iată ce ar trebui să faci:
- Amesteca 1 lingura de bicarbonat de sodiu si 2 linguri de ulei de cocos virgin pentru a crea o pasta groasa.
- Masați ușor scrubul exfoliant în zona afectată pentru a ajuta la îndepărtarea celulelor moarte ale pielii și pentru a elimina infecțiile pielii.
- Lăsați câteva minute înainte de a clăti cu apă caldă.
- Utilizați de 1-2 ori pe zi până când nu mai aveți o erupție cutanată cu mâncărime după ce vă radeți zona pubiană.
Dacă aveți piele sensibilă în jurul organelor genitale, ar trebui să folosiți mai mult ulei de cocos. De asemenea, puteți adăuga 2 picături de ulei de arbore de ceai la scrubul de casă pentru a ajuta la creșterea proprietăților antibacteriene în mod natural.
Hamamelis
Proprietățile astringente naturale ale hamamelisului fac din acesta un remediu natural excelent pentru cosurile din jurul organelor genitale cauzate de arsurile de ras. Cu toate acestea, hamamelisul nu ajută doar la contractarea foliculilor de păr infectați. Ajută la reducerea inflamației și, de asemenea, este un antiseptic natural.
Journal of Inflammation raportează că hamamelisul a fost folosit de secole pentru a trata multe tulburări topice ale pielii. Acțiunea blândă de curățare antiseptică și antiinflamatoare a hamamelisului ajută la tratarea afecțiunilor pielii precum acneea și cosurile inflamate.
Există, de asemenea, unele studii care arată că hamamelisul are proprietăți antivirale și s-a dovedit a fi eficient în tratarea herpesului cauzat de HSV-1. Deși herpesul genital este de obicei cauzat de HSV-2, hamamelisul poate ajuta la reducerea unor simptome ale herpesului genital cauzat de HSV-1.
Cum se utilizează:
Este foarte ușor și simplu de utilizat hamamelis pentru tratarea arsurilor de ras și a efectelor firelor de păr încarnate. Iată ce ar trebui să faci:
- Înmuiați un tampon de bumbac în hamamelis pur.
- Aplicați direct pe zona bărbierită din jurul regiunii pubiene pentru a ajuta la dezinfectarea cosurilor și a umflăturilor de păr încarnate.
- Repetați de 2-3 ori pe zi și continuați până când toate semnele de foliculi de păr infectați au dispărut definitiv.
Cum să tratezi verucile genitale și herpesul
Potrivit diverselor surse medicale, este dificil să se trateze herpesul genital și verucile genitale. Odată ce o persoană are virusul HSV-1, HSV-2 sau HPV, nu există nicio modalitate de a-l elimina din organism.
Potrivit dr. Melissa Conrad Stöppler de pe eMedicineNet, verucile genitale dispar uneori de la sine, iar medicii pot recomanda alte tratamente pentru a elimina negii.
Dr. Traci Johnson de pe WebMD spune că medicii prescriu de obicei creme antivirale pentru a reduce severitatea simptomelor herpesului genital. De obicei, simptomele dispar de la sine în aproximativ o săptămână.
Cu toate acestea, există câteva remedii naturale care au proprietăți antivirale și pot ajuta la tratarea simptomelor herpesului genital.
Miere
Mierea este un produs natural uimitor care are proprietăți puternice de vindecare. Mierea este folosită pentru a trata o serie de probleme ale pielii, inclusiv arsuri, acnee și infecții ale rănilor pielii. Cu toate acestea, mierea poate fi folosită și împotriva virusului herpes simplex.
De exemplu, revista Medical Science Monitor a raportat că studiile care implică utilizarea mierii pentru tratarea rănilor de herpes simplex s-au dovedit foarte reușite. Mierea a fost, de asemenea, folosită pentru a trata herpesul genital și a fost la fel de eficientă ca și aciclovirul – un medicament farmaceutic popular utilizat pentru infecțiile cu HSV. Cercetătorii au ajuns la concluzia că mierea este un tratament sigur și eficient pentru herpesul labial și genital.
Cum se utilizează:
Cel mai bun tip de miere de utilizat este mierea de Manuka pentru proprietățile sale vindecătoare. Cu toate acestea, orice miere crudă va fi eficientă și împotriva virusului herpes simplex. Iată cum să o aplici pe rănile tale de herpes:
- Spălați-vă mâinile și aplicați puțină miere pe rănile genitale.
- Lăsați să se usuce înainte de clătire cu apă caldă.
- Aplicați de 2-3 ori pe zi și utilizați în fiecare zi pe umflăturile cu herpes până când toate semnele infecției au dispărut.
- Dacă veziculele au izbucnit, utilizați un tampon de bumbac curat pentru a curăța lichidul care curge și aruncați-l după. Amintiți-vă întotdeauna să vă spălați pe mâini.
De asemenea, puteți aplica miere crudă pe bubițele de ras pentru a accelera vindecarea foliculilor de păr infectați din jurul zonei pubiene.
Cum să preveniți umflăturile de ras, herpesul genital și verucile genitale
Este mult mai ușor să preveniți denivelările în jurul organelor genitale, luând câțiva pași practici.
Cum să preveniți umflăturile de ras
Majoritatea arsurilor de ras sunt cauzate de tehnicile de bărbierit sau epilare cu ceară care dăunează pielii. Medicii de la WebMD recomandă următoarele pentru a preveni arsurile de ras:
- Înmoaie pielea spălând zona pubiană cu apă și un săpun blând.
- Utilizați un aparat de ras ascuțit, cu o singură lamă.
- Bărbierește întotdeauna în direcția creșterii părului, niciodată în alt mod de a încerca să obții un bărbierit mai atent.
- Nu trageți de piele când vă bărbierești.
- Utilizați o cremă hidratantă naturală bună după bărbierit.
Cum să previi herpesul genital
Potrivit dr. Melissa Conrad Stöppler de pe MedicineNet, prevenirea herpesului genital este foarte dificilă, deoarece virusul se poate transmite chiar și atunci când nu există niciun focar. Cu toate acestea, dacă aveți un focar de herpes, trebuie să vă spălați pe mâini înainte și după atingerea zonei afectate. De asemenea, ar trebui să evitați să împărtășiți îmbrăcămintea care a intrat în contact cu rănile și ulcere.
Cum să preveniți verucile genitale
De asemenea, poate fi dificil să evitați transmiterea verucilor genitale. Cu toate acestea, medicii de la WebMD recomandă ca bărbații să poarte întotdeauna prezervative atunci când se angajează în activități sexuale.
Când să vezi un medic
Dr. Melissa Conrad Stöppler de pe MedicineNet spune că dacă credeți că aveți herpes genital și este prima dată când aveți simptome, ar trebui să vă vizitați medicul. Cu toate acestea, este rar să fie nevoie să consultați un medic pentru fiecare focar de herpes genital, deoarece trebuie doar să tratați simptomele.
Dacă aveți alte umflături în jurul organelor genitale care prezintă semne de infecție sau scurgeri, ar trebui să consultați un medic. De asemenea, dacă aveți o senzație de arsură atunci când urinați sau mâncărimi severe ale vaginului, ar trebui să verificați întotdeauna aceste simptome.
Resurse articol:
- MedicineNet . Fire de păr încarnate.
- CDC . Herpes genital – fișă informativă CDC.
- MayoClinic . Negi genitali.
- WebMD . Păr încarnat.
- WebMD . Înțelegerea herpesului genital – simptome.
- AAD . Negi genitali.
- MayoClinic . Herpesul genital.
- eMedicineNet . Negi genitali.
- WebMD . Furuncule.
- Clin Microbiol Rev. 2006 ianuarie; 19(1): 50–62.
- Pharm Biol. Februarie 2010;48(2):151-7.
- Compend Contin Educ Dent Suppl. 1997;18(21):S17-21;quiz S46.
- J Inflamm (Londra) . 2011; 8:27.
- Planta Med. 1996 iunie;62(3):241-5.
- eMedicineNet . Negi genitali.
- Med Sci Monit. 2004 Aug;10(8):MT94-8.
- WebMD . Arsuri de ras.
- MedicineNet . Herpesul genital la femei.
- WebMD . Negi genitali.
- MedicineNet . Herpesul genital la femei.
- WebMD . Negi genitali.
- WebMD . Herpes Simplex: Herpes tip 1 și 2.
